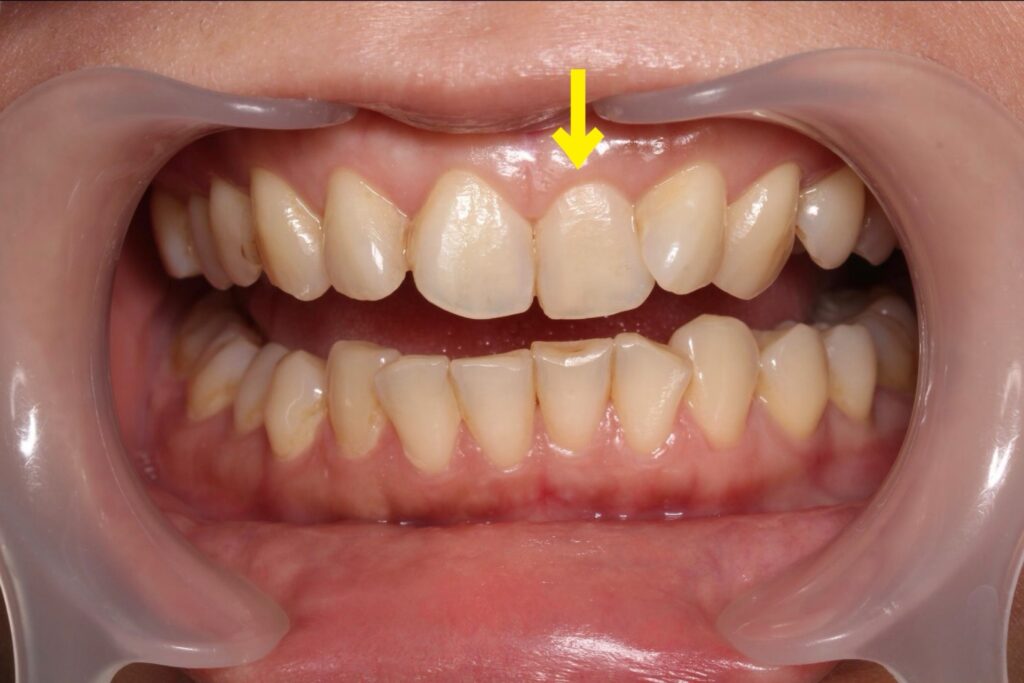
「全体的には気にならないけれど、前歯1本だけ色が違う気がする」
「写真を見ると、その1本だけ暗く見える」
このようなお悩みでご相談いただくことは、実は少なくありません。
特に、神経の治療をした歯(失活歯)は、時間の経過とともに色が変わりやすく、周りの歯と比べて浮いて見えることがあります。
前歯1本だけ色が違う原因とは?
前歯の色が1本だけ違って見える場合、いくつかの原因がありますが、代表的なのが以下です。(被せ物や詰め物の場合は除きます。)
・神経を取った歯(失活歯)
・過去の根の治療の影響
・歯の内部の変色(血液成分や薬剤など)
神経のない歯は、内部から徐々に色が変化していくため、通常のホワイトニングだけでは改善しきれないケースもあります。
ホワイトニングでどこまで改善できる?
ホワイトニングは歯を明るくする治療ですが、歯の状態によって効果に違いがあります。
・健康な歯 → しっかり白くなる
・神経のない歯 → ある程度は明るくなるが限界がある
そのため、前歯1本だけ色が違う場合は、全体をホワイトニングで明るくしつつ、気になる歯を別の方法でなじませることが大切です。
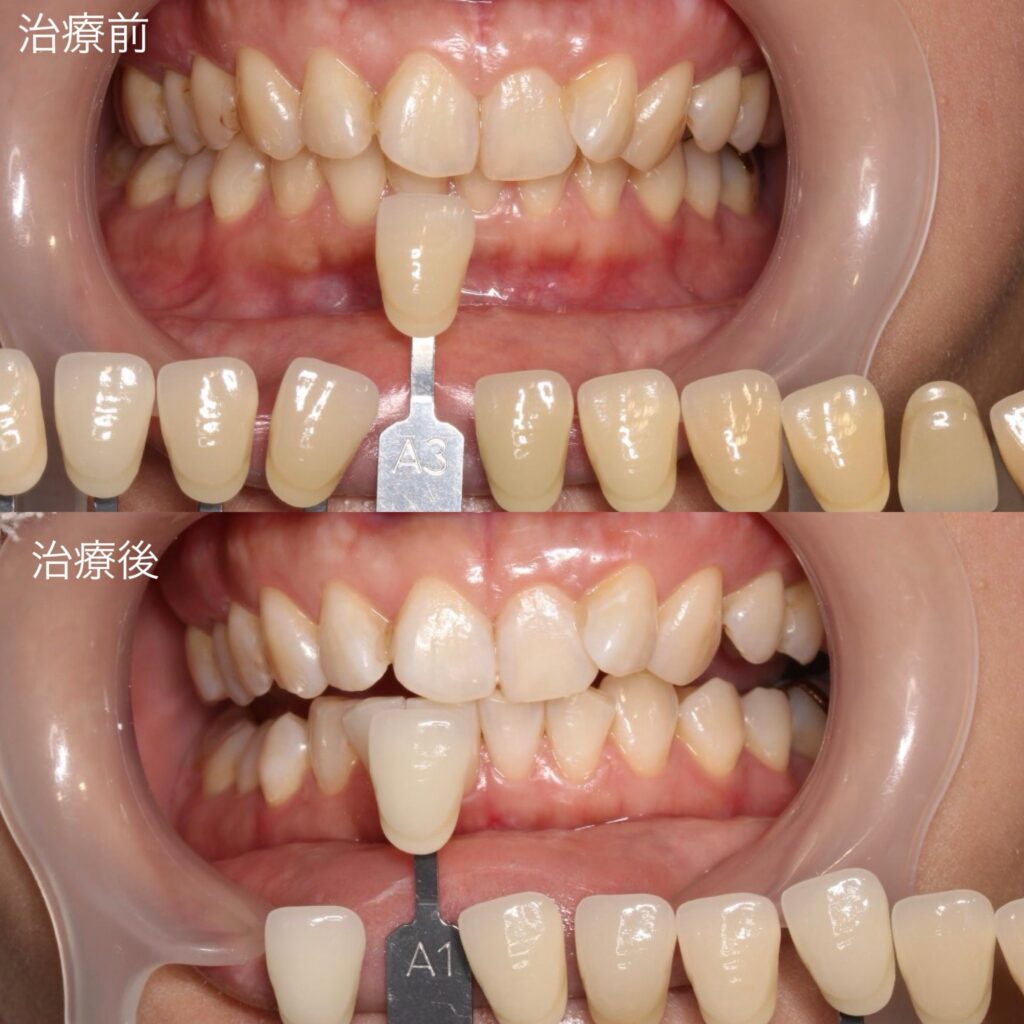
当院での治療の流れ(症例)
今回ご紹介するのは、右上の前歯(神経のない歯)の変色が気になる患者さまのケースです。

① 根の治療の確認・再治療
レントゲンで確認したところ、他院での過去の根の治療が不十分だったため、再根管治療を行いました。
見た目だけでなく、歯を長持ちさせるための土台を整えることが重要です。

② 他の虫歯の治療
お口全体の状態を整えるため、他の虫歯も先に治療しました。
全体の環境を整えてからホワイトニングを行うことで、より自然な仕上がりになります。
③ ホワイトニング
全体の歯を明るくするために、オフィスホワイトニングを行いました。神経のない左上の前歯は、ウォーキングブリーチを兼ねた特殊な方法で行いました。
初雁歯科クリニックでは、日本審美学会認定ホワイトニングコーディネーターの歯科衛生士が担当します。
全体のトーンが上がることで、「1本だけ浮く」印象を軽減できます。
④ 色調の変化
施術前:A3
施術後:A1
まで明るくなりました。

⑤ コンポジットレジン修復で仕上げ
神経のない歯は、ホワイトニングだけでは完全に周囲と同じ色にならないため、コンポジットレジン(白い詰め物)で色を調整し、自然になじませました。

前歯の変色は「組み合わせ治療」がポイントとなります。
前歯1本の色の違和感は、
・ホワイトニングだけ
・詰め物だけ
といった単独の治療ではなく、
複数の方法を組み合わせることで、より自然に改善できます。
このようなお悩みはご相談ください。
・前歯1本だけ色が違って気になる
・神経を取った歯が黒ずんできた
・ホワイトニングをしたが、その歯だけ白くならない
・写真で前歯の色が気になる
こうしたお悩みは、適切な診断と治療で改善できる可能性があります。
前歯は、お顔の印象に大きく関わる大切な部分です。
「1本だけ気になる」という小さな違和感でも、整えることで自然な笑顔につながります。
当院では、見た目だけでなく歯の健康も大切にした治療をご提案しています。
お気軽にご相談ください。
新宿御苑前 初雁歯科クリニック