他院でのマウスピース矯正を途中で中断された患者様の症例をYouTubeにまとめました。
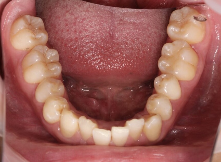
前歯のねじれや歯列の乱れ、かみ合わせの不調和が見られました。
当院でマウスピース矯正による再治療を行い、歯列と咬み合わせを整えました。
歯に小さな透明の突起(アタッチメント)を装着し、必要に応じて歯と歯の間をわずかに調整する処置(ディスキング)を行いながら歯の移動を進めています。
矯正治療を途中でやめてしまった場合でも、歯並びの状態によっては再治療が可能な場合があります。
矯正を中断してしまった方も、お気軽にご相談ください。

※自由診療の矯正治療の症例です。
※治療結果には個人差があります。
※歯に小さな透明の突起(アタッチメント)をつける場合があります。
※歯並びを整えるため、歯と歯の間をわずかに調整する処置(ディスキング)を行うことがあります。
※治療期間・費用は歯並びの状態により異なります。
新宿御苑前 初雁歯科クリニック