「以前マウスピース矯正を始めたけれど、途中でやめてしまった」
「歯並びのガタガタがやはり気になる」
このようなご相談は少なくありません。
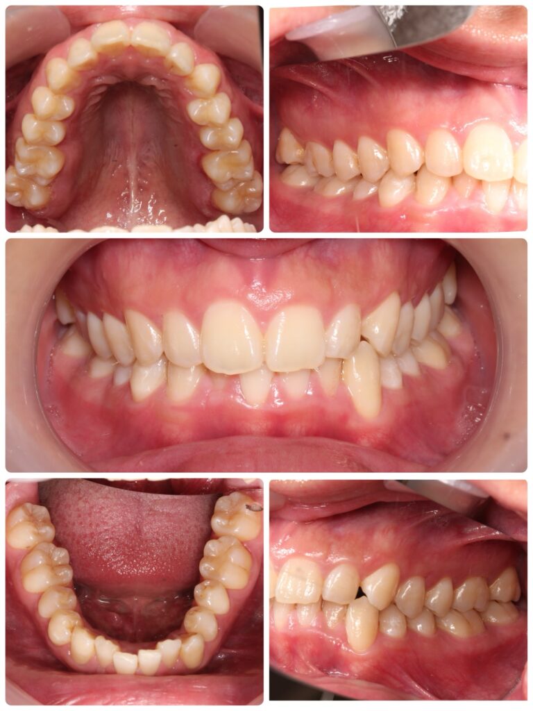
今回は、30代男性のマウスピース矯正の症例をご紹介します。
患者様についてです。
⚫︎年齢:30代男性
⚫︎主訴:前歯のガタガタが気になる
⚫︎既往歴:他院でマウスピース矯正を開始するも途中で中断

マウスピース矯正は取り外しができるメリットがある一方で、
装着時間を守れない 通院が難しくなった 仕上がりに不安を感じた
などの理由で中断してしまうケースもあります。
しかし、中断したからといって「もう治せない」わけではありません。
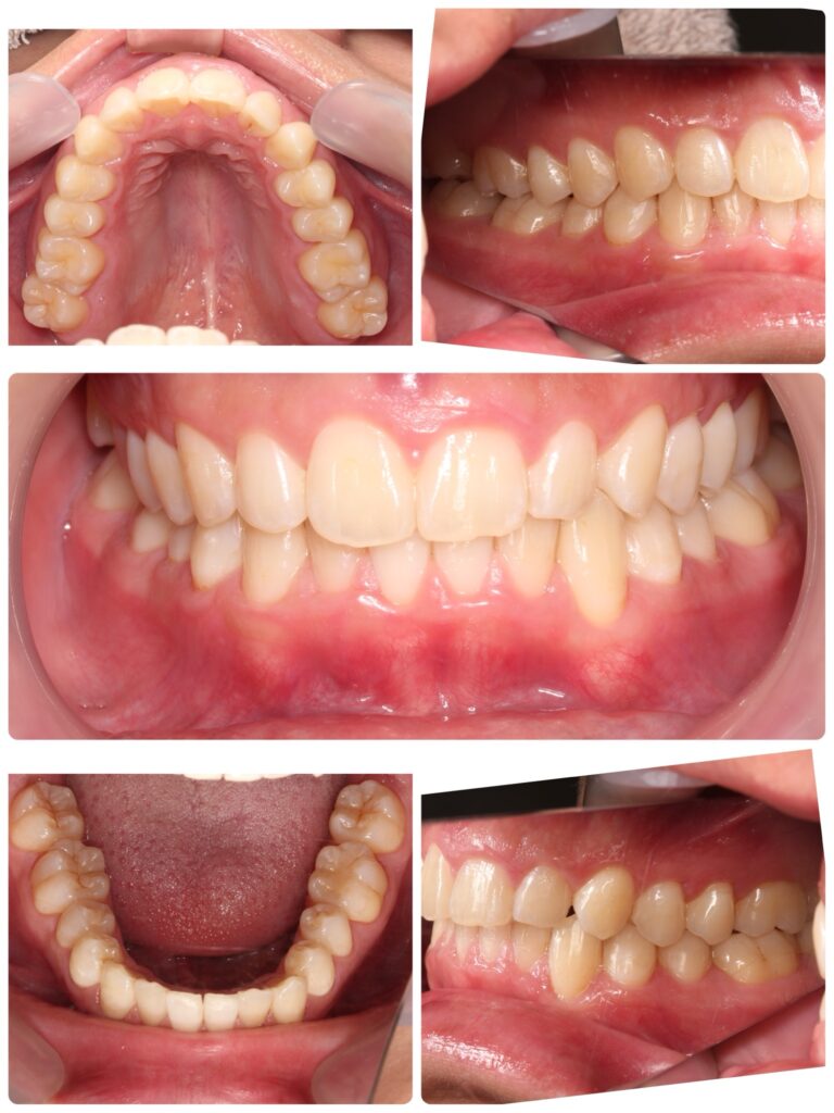
当院での診断と治療方針
初雁歯科クリニックでは、
✔ 現在の歯の位置の精密検査
✔ 既存アライナーの使用可否の判断
✔ 新たな治療計画の立案
を行いました。
中断期間があったため、新たに治療計画を立て直しました。
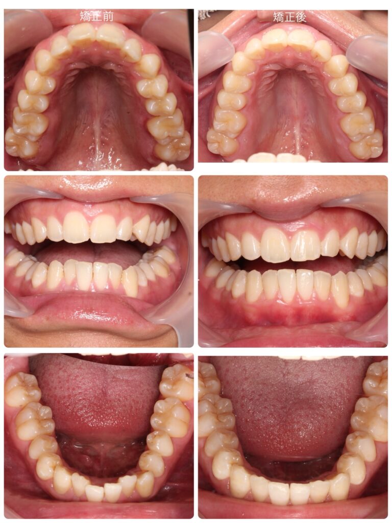
治療のポイントとしては、主訴の前歯の叢生(ガタガタ)の改善、咬み合わせの安定はもちろんですが、無理のないスケジュール設計を心掛けました。

30代の矯正は「審美」だけでなく「機能」も重要です。大人のマウスピース矯正はやり直せます。

マウスピース矯正は、
・中断後でも再開できる場合が多い
・治療計画を見直せば改善可能なケースがある
という特徴があります。
「今さら相談しづらい」と思わず、一度ご相談ください。
初雁歯科クリニックでは、
・30代からの大人の矯正相談
・他院中断後のご相談
・部分矯正のご相談
にも対応しています。
歯並びが整うと、見た目だけでなく清掃性や噛み合わせも改善します。
お気軽にご相談ください。