よく患者様から『オフィスホワイトニングの効果はどれくらいもつの?』とのご質問があります。
今回は、新宿御苑前 初雁歯科クリニックのホワイトニングの特徴や、効果の持続期間、リタッチの重要性について、わかりやすくご紹介します。
オフィスホワイトニングとは?
オフィスホワイトニングとは、歯科医院で専用の薬剤と機器を使用して行うホワイトニング治療です。
主な特徴は以下の通りです。
⭐︎短期間で白さを実感しやすい
⭐︎歯科医師・歯科衛生士が管理する安心感
⭐︎ムラの少ない自然な仕上がり
忙しい方でも、効率よく歯を白くできる点が魅力です。
こちらのホワイトニングのご案内ページも併せてご参照ください。
初雁歯科クリニックのホワイトニングの特徴
当院では、日本歯科審美学会認定ホワイトニングコーディネーター資格を持つ歯科衛生士が、施術を担当しています。
専門的な知識と経験をもとに、
・歯の状態チェック
・着色や汚れの確認
・薬剤の選択
・施術中の細かな配慮
まで、一つひとつ丁寧に行っています。
「しみそうで不安」
「自分に合うか心配」
という方にも、安心して受けていただける体制を整えています。
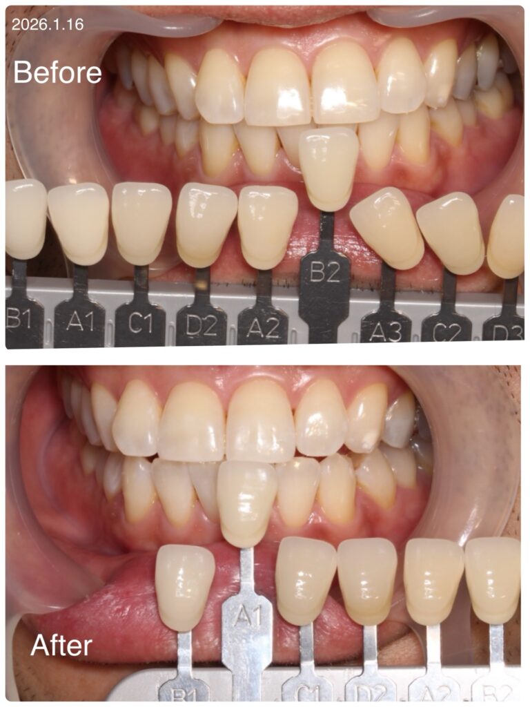
ホワイトニングの効果はどれくらい続く?
一般的に、オフィスホワイトニングの効果は、3か月〜6か月程度が目安とされています。
ただし、生活習慣や口腔ケアの状況によって個人差があります。
効果の持続に影響する生活習慣
次のような習慣がある方は、色戻りがやや早くなる傾向があります。
・コーヒー・紅茶・赤ワインをよく飲む
・喫煙している
・会食・外食が多い
・色の濃い食事が多い
これらは日常生活では避けにくいため、適切なケアが大切になります。
なぜ歯はまた黄ばむの?
ホワイトニング後の歯は、見た目には滑らかでも、表面に細かな凹凸があります。
そこに、
・食べ物の色素
・飲み物の着色成分
・タバコのヤニ
などが少しずつ付着し、再び色がついていきます。
これは自然な変化であり、誰にでも起こるものです。
白さを保つための「リタッチ」とは?
リタッチとは、歯の白さを維持するための定期的な再ホワイトニングのことです。
完全に元の色に戻る前に行うことで、
・軽い施術で済む
・負担が少ない
・白さを長く保てる
といったメリットがあります。
大切な予定やイベントに合わせて行う方も多くいらっしゃいます。
こんな方におすすめです
・清潔感を大切にしたい
・若々しい印象を保ちたい
・専門的な管理のもとで受けたい
・市販のホワイトニング用歯磨き剤で満足できなかった
新宿御苑前でホワイトニングをご検討の方へ
初雁歯科クリニックでは、一人ひとりに合わせた、安心・丁寧なホワイトニングを心がけています。
「まずは相談だけしたい」
「自分に合うか知りたい」
という方も、お気軽にご相談ください。

よくあるご質問(Q&A)
Q. オフィスホワイトニングはどのくらい白くなりますか?
A. 個人差はありますが、多くの方が1回の施術でも白さの変化を実感されています。
Q. どのくらいの頻度でリタッチすればよいですか?
A. 一般的には3〜6か月に1回程度がおすすめです。歯の状態に合わせてご案内しています。
Q. ホワイトニングはしみますか?
A. 体質や歯の状態によって一時的にしみる場合がありますが、当院ではできる限り負担を抑えた施術を行っています。また、知覚過敏抑制用のケアグッズもございますのでお気軽にお越しください。
Q. 男性でもホワイトニングを受けていますか?
A. はい。清潔感を大切にされる男性の患者さまにも多くご利用いただいています。ビジネス商談前にホワイトニングを受ける方もいらっしゃいます。
※ホワイトニングは口腔内検査後に施術可能か診断する必要があります。また効果には個人差がありますのでご了承ください。
新宿御苑前駅徒歩1分 初雁歯科クリニック