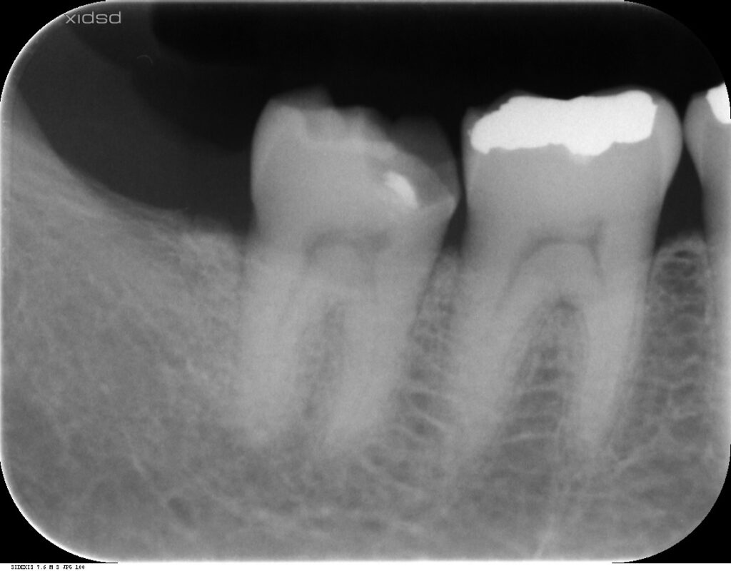
長年使っていた銀歯がある日突然外れることがあります。今回は、そんな主訴の患者様の症例です。


麻酔下で感染歯質を取り除き、裏装を兼ねてセメントを充填し痛みが出ないか経過観察を行った。

その後、生活歯であること、隣接歯をはじめ全顎的に咬耗があり、咬筋測定の結果、咬合力が強いことも考慮しゴールドアンレーを選択しました。

歯の詰め物・被せ物というと、「白いセラミックが一番良いのでは?」と思われる方も多いかもしれません。
確かにセラミックは見た目が美しい素材です。
一方で、奥歯の治療では「ゴールド(金合金)」がとても優れていることをご存じでしょうか。
この症例のように、奥歯にゴールドを選ぶメリットをわかりやすくご紹介します。
ゴールドが奥歯に向いている理由
① 歯にぴったり合いやすい
ゴールドは加工精度が高く、歯とのすき間が非常に少なく作れます。そのため、詰め物の下で虫歯が再発しにくい素材です。
② 割れにくく、長持ちしやすい
ゴールドはしなやかさがあり、強い噛む力がかかる奥歯でも割れにくい特徴があります。10年、20年以上問題なく使えているケースも珍しくありません。
③ 噛む相手の歯にやさしい
天然の歯に近い硬さのため、噛み合う歯を傷めにくい素材です。
④ 歯を削る量を最小限にできる
薄く作れるため、健康な歯をなるべく残した治療が可能です。
⑤ 体にやさしい金属
歯科用のゴールドは生体親和性が高く、金属アレルギーのリスクも比較的低いとされています。
奥歯は、食事のたびに強い力がかかるとても大切な場所です。見えにくい部分だからこそ、
「よく噛める」「長くもつ」「やり直しが少ない」
という機能面を重視した治療も、一つの大切な選択です。
当院では、見た目を重視したい前歯 噛む力を最優先したい奥歯など、部位やご希望に合わせて素材をご提案しています。
「白い歯がいい」「長持ちする方がいい」
どちらが正しい・間違いではありません。
それぞれのメリット・デメリットをご説明したうえで、患者さんにとって納得できる治療を一緒に考えていきます。
奥歯の治療は「今だけ」ではなく「これから」を考えることが大切です。ご不安やご希望があれば、診察の際にぜひお聞かせください。
新宿御苑前駅徒歩1分 初雁歯科クリニック