前回の実験で、飲料物の酸性度がpH5.5以下になればなるほど歯が溶けることがお分かりいただけだと思います。
実際のお口の中には唾液があり一日中ずっと酸性物を摂取し続けることはないので、実験ほど顕著に歯が溶けることはありません。
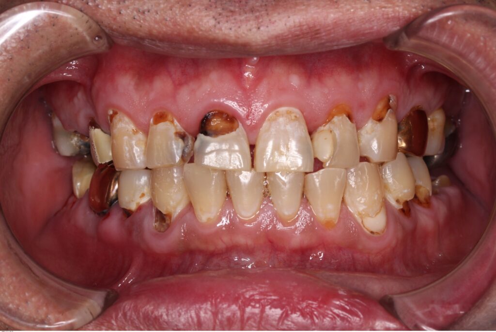
しかし、こちらの症例をご覧下さい。

この方は水が苦手で飲めないので、コーラを水代わりに毎日飲んでいたそうです。歯の表面が全体的に溶けています。
また、溶けた部分は柔らかい歯の内面(象牙質)が露出しているので、より容易に虫歯が進行してしまう、そして虫歯が進行した部分も酸でより溶けるという悪循環に陥っているようです。
要は口腔内pH値を5.5以上に保つかが重要です。
①唾液や水などで脱灰環境から早く抜け出す
②酸性物が歯に接しないようにする
③溶けにくい歯にする
がキーポイントになります。
①は生活習慣、唾液分泌量を増やすマッサージをする。食事の際はよく噛んで唾液を出す。常用薬に唾液分泌量を減らす副作用があれば医療機関に相談してみる等
②は酸性飲料はストローを使って飲む
③フッ素入りの歯磨き剤や歯科医院でフッ素塗布を行い歯質を強くする等
が対策として挙げられます。
詳しくは歯科衛生士、歯科医師に診療の際にお気軽にご質問くださいね。
参考文献
1. 北迫勇一,岩切勝彦著,『知る•診る•対応する 酸蝕症』,クインテッセンス出版株式会社, 第1版, 2017
2. 『飲食物で歯が溶ける?!酸蝕症にご用心』nico7月号, クインテッセンス出版株式会社,2014