爽やかな秋晴れで気持ちの良い天気ですね!
緊急事態宣言も明けマスクなしの日も近いと信じたいところです。今のうちに清潔感のある白い歯でマスク明けに備えましょう✨
ホワイトニングで白くならない歯はセラミック治療をご検討してみてはいかがですか?
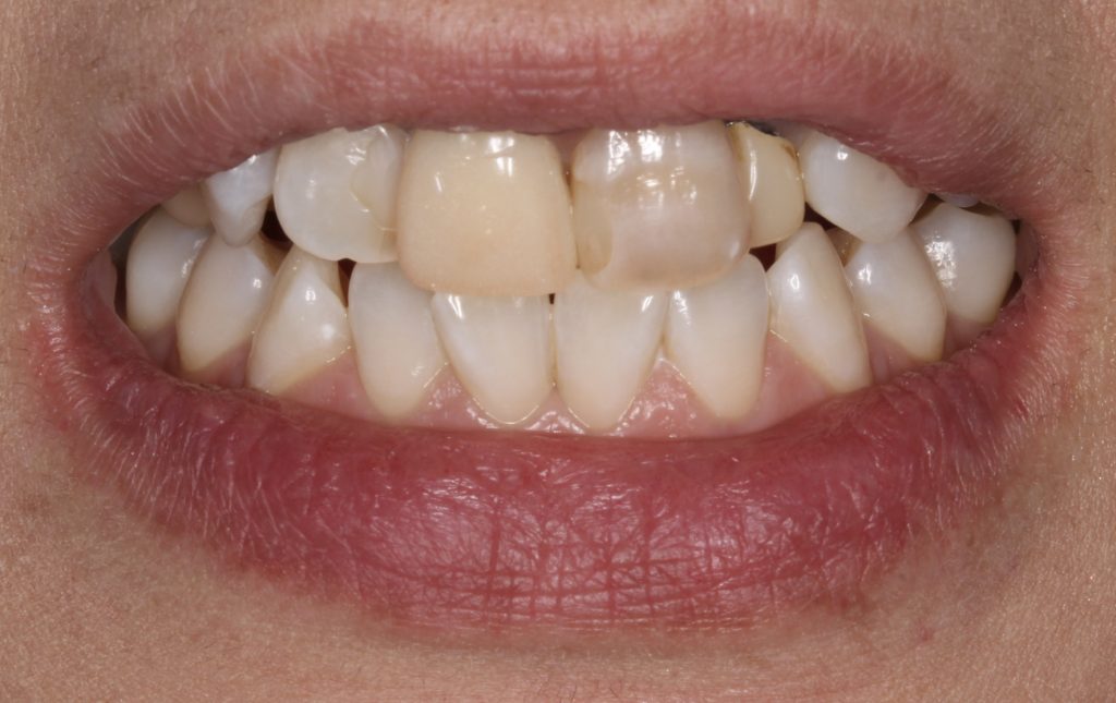
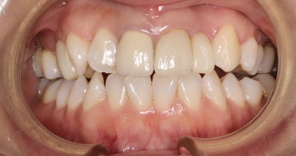
写真は50代女性『前歯の見た目が嫌』。前歯3本をセラミック治療しました。元々引っ込んでいる左上2番は仮歯で歯肉の形を整え、セラミッククラウンの装着時に自然に生えて見えるように工夫しています。





この症例は前歯の歯並びもセラミック補綴で治しているので、ちょっとした『セラミック矯正』にもなっています。
セラミック矯正は矯正と名はつきますが、歯を動かすのではなく歯を削って被せ物やラミネートベニアなどを装着して歯並びをきれいに見せる方法です。
天然歯を削るため場合によっては歯の神経を取らねばならないこともありますし、なによりも天然歯を削ることはダメージであることにかわりはありません。
なので、当院では歯並びに対しては一般的な歯列矯正を基本的にはおすすめしていますが、年齢や治療期間、お口の状態によってはプチセラミック矯正を取り入れることもあります。
しっかりとお口の状態を診査しカウンセリングを行いますので、もしお悩みの方がいらっしゃいましたらお気軽にお問い合わせください。