もはや身近なアンチエイジング、美容のひとつとなった歯のホワイトニング。白い歯でさわやかな笑顔、清潔感を演出しませんか?
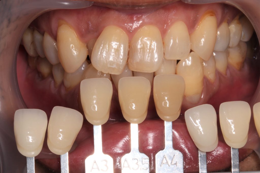
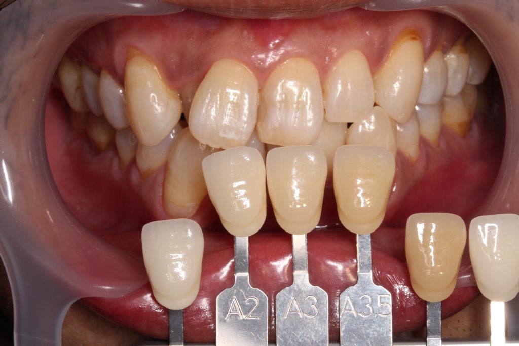
ホワイトニングとは広義で『歯を白くすること』。その種類は『クリーニング』と『ブリーチング』に大きく分かれます。

まず『クリーニング』ですが、歯の汚れや黄ばみを取り除き、元の歯の色に戻します。大体のホワイトニングサロンやセルフホワイトニングはこちらになります。歯磨き剤にも含まれるポリリン酸ナトリウムなどの汚れをとる成分を使用します。
次に『ブリーチング』。こちらは元来の歯の色よりも白く漂白します。過酸化水素や過酸化尿素を使用するので、歯科医師がいないと行えません。通常、虫歯や歯周病の処置やクリーニング後に行います。
ブリーチングには①オフィスホワイトニング ②ホームホワイトニング ③デュアルホワイトニング ④ウォーキングブリーチがあります。
①オフィスホワイトニング…歯科医院でホワイトニング剤を塗布する方法です。歯のエナメル質に過酸化水素を効かせて白くします。即効性があります。



②ホームホワイトニング…ご自身の歯型に合わせたカスタムトレーにホワイトニング剤(過酸化尿素)を入れて、ご自身で約2週間毎日装着して歯を白くします。歯の内面の象牙質に薬剤を効かせるので、効果が持続します。


③デュアルホワイトニング…①と②を合わせて行う方法です。即効性のあるオフィスホワイトニングでまずは表面を白くし、ホームホワイトニングで歯の内面までじわじわ白くします。



④ウォーキングブリーチ…歯の神経が無い歯(失活歯)にホワイトニング剤を効かせて白くします。


どの方法もホワイトニング効果に個人差がございます。
詳しくは、初雁歯科クリニックのYouTube動画をご覧下さい。実際の施術動画もありますのでご参考になれば幸いです。
ホワイトニングとは?オフィスホワイトニングについて https://youtu.be/MEqpzvLw2fg
ホームホワイトニングについての動画 https://youtu.be/SIhxWpmidTQ
ホームホワイトニングの取り扱い https://youtu.be/ppt_qeX-Os8
また、クリーニング、ブリーチングとも被せ物や詰め物、虫歯などは白くなりません。汚れだと思っていても虫歯や補綴物の変色の場合もありますので、自己診断せずにまずは歯科医院でご相談くださいね。