開業して7年目になりましたが、歯周病の患者様の比率が多いです。
『歯ぐきから血がでた』『歯が揺れる、抜けた』など歯周病の症状でお越しになる方はもちろんですが、その他の症状でご来院されて気づく方のほうが圧倒的に多い様子。
歯周病はSilent Disease と言われるように、痛くないので気づいた時には重度になってしまっている恐ろしい最近感染病です。

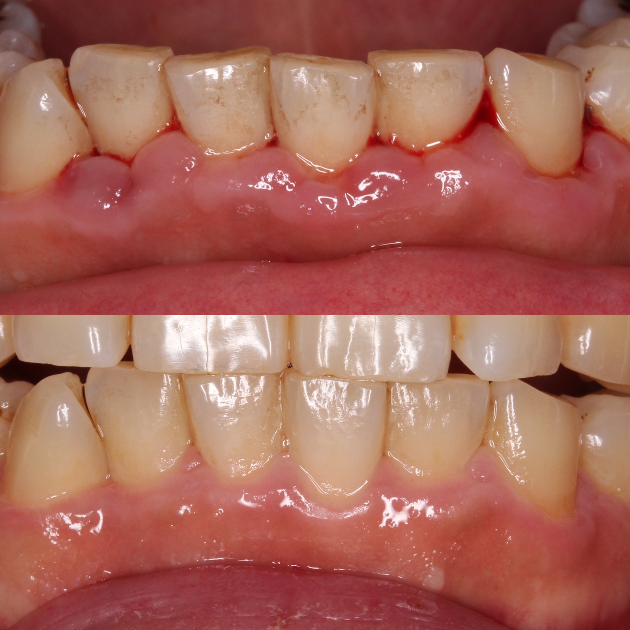
写真・30代男性。下顎前歯部に顕著な歯肉の腫れと出血が認められた。歯周病治療と併せて正しい歯磨きを実践してもらい治癒。
30代前後の30%が歯周病になっているという厚生労働省のデータもあります。それだけ身近な最近感染病なのです。
そんな歯周病についてYouTube動画を作りました。どうぞこの機会に歯科医院でクリーニングを受けてみてはいかがですか?