初雁歯科クリニック
新宿御苑前駅徒歩1分の歯科医院

当院の感染症予防対策への徹底した取り組みについて

ペットも人間もオーラルケアは必須!楽しく歯磨きしましょう。

今日は愛猫のワクチン接種で、かかりつけの獣医さんを受診しました。

獣医さんに猫の歯磨き法を教えてもらったので慣らすところから始めてみます。人間用と同じく、動物の歯磨き剤にもチキンなど各種フレーバーがありました!

猫も7日もすれば歯石ができ、歯周病にもなるそう。ちなみに人間はたったの3日。
オーラルケアは生き物には必須ですね!

人間の歯周病についてはこちらの動画をどうぞ!

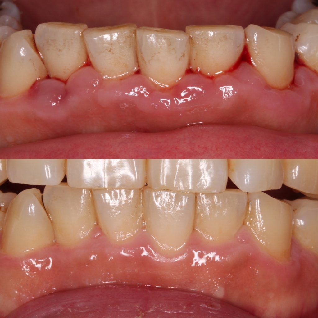
歯科医院でのクリーニングと毎日の正しい歯磨きで歯ぐきからの出血や腫れが治りました!